BY Chris Barlow

beardoPopcorn lungs, emphysema, bronchitis and cancer have all been linked to the upward trending, 21st century method of smoking commonly referred to as vaping.

Families both locally and nationwide are affected by a recent surge in the usage of electronic smoking devices (ESDs). Vaping tools, e-cigarettes and hookahs are all similar devices that fall under the heading of ESDs.

In an effort to curb what many believe is a serious issue, studies are underway by entities like the Center for Disease Control (CDC), various universities and numerous medical institutions.

“We continue to learn more about the health effects associated with e-cigarettes,” Milwaukee Health Commissioner Jeanette Kowalik said in a statement. “As the public health authority for the city, the MHD is committed to protecting the public from the dangers of secondhand exposure.”

The Wauwatosa Health Department is another body looking into the ESD issue, including it as a part of their annual Youth Risk Behavior survey. The city uses the study as part of their overall community health improvement plan and listed ESD’s as one of the top issues to be addressed.

“We are seeing devastating effects that are showing up in decreased lung capacity and Doctors are still unsure if that is permanent or temporary,” Laura Conklin, City of Wauwatosa Health Officer said. “The indication that a sixteen or seventeen year old might have permanent damage is heartbreaking.”

City entities are taking action to see if they can diminish the potential damage that they are seeing. Officials in Tosa recently passed an ordinance by a count of 15-0 that adds ESD’s to the list of items that are banned indoors throughout the city.  The Wauwatosa School District has added the prohibition of ESD’s to their list of prohibited items.

Keller Russell from the District said that during past year they hosted two parent information nights and brought in local experts as a way to engage the whole family into the discussion.

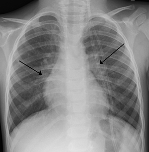
lung issuesAs of November 5, 2019, the CDC reports 2,051 cases of e-cigarette, or vaping, product use associated lung injury from 49 states (all except Alaska), the District of Columbia, and 1 U.S. territory. In addition 39 deaths have been confirmed in 24 states and the District of Columbia.

According to Healthline.com Besides nicotine, other ingredients in a typical ESD’s can include Benzoic acid, a preservative often used as a food additive, a blend of propylene glycol and glycerine which are carrier solvents used to create a clear vapor when the solution heats up and unspecified flavorings.

The City of Milwaukee is also sounding the alarm as there have been 16 confirmed cases of lung disease linked to ESD’s with another 15 cases under investigation. They urge people to contact their doctor if they are experiencing symptoms like nausea, chest pain, fatigue and shortness of breath.

yummy girlThere are not currently any statistics for cases in various counties or municipalities that are currently available.

Recently some studies are producing results that could help diagnose and treat patients experiencing symptoms.

“For the first time, we have detected a potential toxin of concern: vitamin E acetate,” explains Dr. Anne Schuchat, CDC’s principal deputy director. Vitamin E acetate, an oil, is a synthetic form of vitamin E.

But not everyone is ready to sound the alarm on the overall seriousness of the effects of smoking with ESD’s. Recently some have called on the medical community to pull back on the criticism of ESD’s and believe it is a healthy alternative to traditional smoking.

A group of about 40 researchers and vaping advocates signed a petition seeking a retraction of a study conducted by the New England Medical Journal that tied ESD’s to cancer.

The group called the U.S. reaction to the lung-injury outbreak “emotional and irrational hysteria.” They have also complained of a “witch hunt against e-cigarettes” and criticized the studies on early signs of vaping-related lung injuries as “a collection of confusing and irrelevant information.”

“There is no doubt that e-cigarettes are far less harmful than smoking, absolutely no doubt,” Greek cardiologist Konstantinos Farsalinos said.

The concerns over e-cigarettes are exaggerated, he said, and “for a smoker who has failed to quit by other methods, they can be literally life-saving.” He recommends vaping only for people who can’t quit through other cessation tactics.

It is worth noting that tobacco use among the youth in Tosa has been diminishing in recent years. And while the medical community is still learning about the effects of vaping, officials like Laura Conklin also want to be sure that community members are taking precautions if they are currently using ESD’s.

“Even if your aren’t experiencing symptoms, stop vaping, quit doing it,” Conklin said. “It may not seem like a big deal right now but we are still learning.”